The CASE A 52 yo patient presents following a fall onto the right outstretched hand.…
Dr Peter Kas15/11/2023
The purpose of resuscitation in cardiac arrest, is to restore oxygenated blood supply to the…
Dr Peter Kas15/11/2023
CASE A 64 yo patient is referred to the emergency department(ED) with a persistent tachycardia.…
Dr Peter Kas27/10/2023
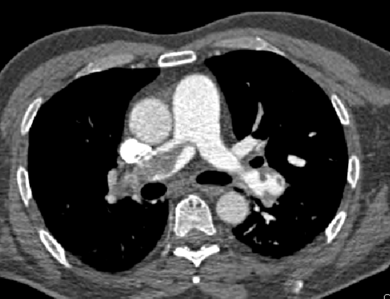
Pulmonary embolism(PE) and Acute Coronary Syndrome(ACS) causing ischaemia can sometimes be difficult to clinically differentiate.…
Dr Peter Kas13/03/2025
Here is a lecture from the very talented and entertaining Prof Joe Nameth, who spoke…
Dr Peter Kas18/10/2023
What does Upward Arm Drift mean? A 50 yo patient presents to the emergency department…
Dr Peter Kas11/10/2023
Adrenaline is the most used drug in cardiac arrest. However we aren't quite sure what…
Dr Peter Kas10/10/2023
A 72 yo patient presents with chest pain. He is known to have ischaemic heart…
Dr Peter Kas12/09/2023
AMAX4 is a treatment algorithm for anaphylaxis and asthma resuscitation. It was developed by emergency…
Dr Peter Kas28/08/2023
A 68 yo patient presents with two hours of central chest pain and dyspnoea and…
Dr Peter Kas24/08/2023
The Waterfall Trial The American College of Gastroenterology(1) recommends early aggressive fluid resuscitation in the…
Dr Peter Kas06/09/2023
Let’s start by looking at 3 patient presentations. Please write down the ventilator settings you…
Dr Peter Kas06/09/2023





















