Tonsillectomy is a common paediatric procedure. It may be a simple palatine tonsillar procedure or more complicated with adenoid removal. Unless more complex, it may be done as a day procedure and patients discharged home the same day, or within 24 hours.
The risk of post-operative bleeding is approximately 5%.
A primary bleed is defined as a bleed that occurs in the first 24 hours. These patients will usually need to go to the operating theatre.
Secondary bleeds occur within 5-9 days, but can occur up to 28 days post procedure. These are sometimes called ‘herald bleeds’ as they can pre-empt a worst bleed within the next 24 hours. The risk of a second bleed is 10% snd half of those will occur within 24 hours.
Most cases of bleeding are minor and self terminating, however some will require intervention and a small number may result in significant haemorrhage and the need for resuscitation.
In general most patients should be seen in an emergency department following a bleed.
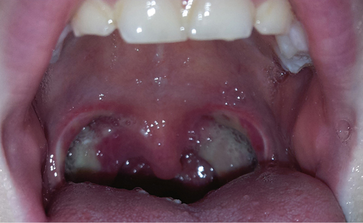
What does the oropharynx look like post operatively? The image below shows what we would expect to see in a normal throat at day 3 and day 10 post operatively.
Day 3
Day 10.
Management is Controversial and there is a significant variation in the approach. There is also controversy about the need to admit and observe all patients with a ‘herald bleed’.
I think of these patients in 3 groups:
Group I: The age of the patient: Are they children or adults? This is an important distinction, because some of the recommended procedures such as direct pressure, will be almost impossible to carry out in children without sedation or intubation. Looking into the oropharynx, may even prove difficult in children.
Group II: The patient who is still bleeding: Is the patient still bleeding and is it small amount or a resuscitation deserving bleed?
Group III: Patients in whom the bleeding has stopped: Do they have a clot, or not?
Patients without bleeding disorders, minor bleeding that has stopped and no evidence of a clot on examination, appear to be a lower risk of rebleeding and may potentially be discharged(after ENT consult) if they live close to the hospital.
Four patients (0.53%) with no oropharyngeal clot at presentation subsequently re-bled while under observation and 2 (0.26%) required surgical management.
In patients with an oropharyngeal clot at presentation 18 (3.1%) rebled and 15 (2.6%) required operative management. Patients without bleeding disorders, minor bleeding that has stopped and a visible clot is present in the oropharynx. These patients would benefit from observation.
In an Australian retrospective study(5) on 826 post-tonsillectomy bleeds in children, found that:
Patients that don’t have visible active bleeding or clot, they will not likely need intervention.
In those patient that have active bleeding, they are at risk of a significant bleed. In many cases the approach to management will depend on where you are and what resources you have. They will also depend on the age of the patient. Very young patients, usually take as less than 6 years old, may require control and review in the operating theatre as they may not tolerate procedures without sedation.
An Approach to the patient who is bleeding actively
Move the patient to Resus.
Call for Help: alert anaesthetics and ENT. If you do not have ENT, you may require to contact them, and have general surgery attend.
Aim to have the patient sitting upright and leaning forward, so they can spit out the blood. They will be swallowing most of the blood, which may result in vomiting, so attempt to have them spit out the blood. Also give an antiemetic.
Establish IV access and prepare for a second access
Take bloods for FBC, Coagulation + von Willebrand Screen (undiagnosed von Willebrands occurs) and Group and Hold + cross-match.
Airway should not be compromised at this point and establishment of airway should not be required. However if there is a need to apply direct pressure or pack the bleeding area, then protection of the airway may be needed. Asign an airway person (hopefully anaesthetics) and have equipment ready. Be prepared with pre-oxygenation and have a laryngeal mask as a backup. If airway control is needed, rapid sequence intubation is the approach to take. Beware of intubating the haemodynamically unstable patient as they may arrest during intubation.
In order to facilitate any procedures, sedation may be required, especially in the very young. These patients may be better suited to intubation and a procedure in the operating room. If sedation is attempted in patients, Ketamine would be my drug of choice, unless contraindicated.
Spraying with Cophenycaine spray, may not stop the bleeding, but may allow some anaesthesia, especially if direct pressure needs to be applied.
Give Tranexamic Acid 15mg/kg IV (max 1g) to children and 1g to adults, over 10 minutes.
Nebulised Tranexamic Acid may be used at doses of 250 mg for < 25 kg and 500mg for > 25kg.
Nebulised Adrenaline may be used.
In profuse bleeding activate the massive transfusion protocol.
Direct pressure can be applied with a swab, or tonsillar pack, soaked in 1:10,000 adrenaline (+ Tranexamic acid), over the bleeding point. This will usually need someone skilled in this procedure and certainly, it will not be a procedure that a paediatric patient will be able to tolerate.
Silver nitrate is also discussed as a means of cauterising the bleed, I would leave this to someone trained in the procedure.
References
Sarny S et al. Haemorrhage following tonsil surgery: A multicentre prospective study. Laryngoscope 2011;21(12)2553-2560.
Arora R eta l. Post Tonsillectomy haemorrhage. Who needs intervention? Int J of Podia Otorhino. 2015:79: 165-169
Cooper N C. Post-tonsillectomy management: A framework. May 2016 5(45).Schwarz W. et al. Nebulized Tranexamic acid use for pediatric secondary post tonsillectomy hemorrhage. Annals of Emergency Medicine. 2019. 73(3). 269-271
Lee T J et al. Variation in management of post-tonsillectomy haemorrhage: a survey of Australian society of Otolaryngology head and neck surgery consultants and registrars, Aust. J. Oto Laryngol. 5 (2022 Aug) 21, 21.








